歯科医師の
みなさまへ
CT撮影依頼を
受けております
歯科用CTはインプラント診断、歯周病による骨欠損の状態、顎関節、歯根の膿、親知らず、上あごの炎症、神経の走行など二次元のレントゲン撮影では不可能だったお口のさまざまな状態を診断できます。
特に安全性と正確性が求められるインプラント治療にはCTによる3次元診断は必須であり、いまや世界の常識となっています。また、近年それと相反しCTの被ばく量が問題視されていますが、当院はそれを解決した低被ばくCTを使用しています。

当クリニックではsirona社の歯科用CT Axeosによる3D画像診断を実施しております。朝日歯科クリニックでは、より多くの方々へのCTの普及を考え歯科医院様よりご紹介いただいた患者様のCT撮影を承っております。撮影データはDICOM(ダイコム)データまたはWRAP&GOをDVD-Rに記録してご依頼された先生に発送いたします。

お渡しするデータの種類
(どちらかお選びください)
- WRAP&GO(ラップ&ゴー)
simplant等のシュミュレーションソフトがなくてもCDを見ることができます。
- 推奨スペックDual core 1.6Ghz、または同等スペック以上
- RAM2GB
- グラフィックカード128MB外付け
- HD空き容量5GB以上
- OS Windows XP professional SP3およびNET 2.0ランタイムライブラリ、Windows Vista Business SP2、Windows7 professional 、Windows8、Windows8 professional
- DICOM(ダイコム)
simplantやNobel Guigde、Dolphin Imaging等のシュミレーションソフトで利用できます 。
根菅治療について
"オブチュレーションシステム"
あなたは根菅治療が語れますか?
根菅治療かできない歯科医師はインプラントをすべきでは無いと思います。
朝日歯科クリニックでは大谷エンドドンティックス方式の東洋化学 オブチュレーションシステムを用いて垂直加圧根菅充填を行っています。
院長は歯科医師になってからずっとこの術式で根管治療を行っています。予後が良いとされるこの根菅充填を勉強したい方は是非お問い合わせください。
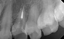
2008年4月
来院時:側方加圧根菅充填(ポイント根充)によるper咬合痛あり。根菅治療スタート。
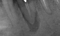
2008年6月
オブチュレーションシステムを用いて根菅充填:根尖までオブチュレーションガッタが充填されているのがわかります。根尖孔から少しオーバーしているのがポイントです。
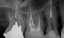
2009年7月
根菅充填より1年経過:来院時にあった根尖の透過像が消失しています。咬合痛もなくなったとのことです。
側枝
近心に側枝があります 。オブチュレーションなら側枝まできれいに根菅充填できます。
RCF
根尖まできれいに充填されています。
矯正歯科医の先生方へ

当院ではカリエス処置、歯周病処置が終了してからの矯正治療をお勧めしています。当院への紹介の場合は抜歯予定部位等治療計画の立案をよろしくお願いいたします。