症例
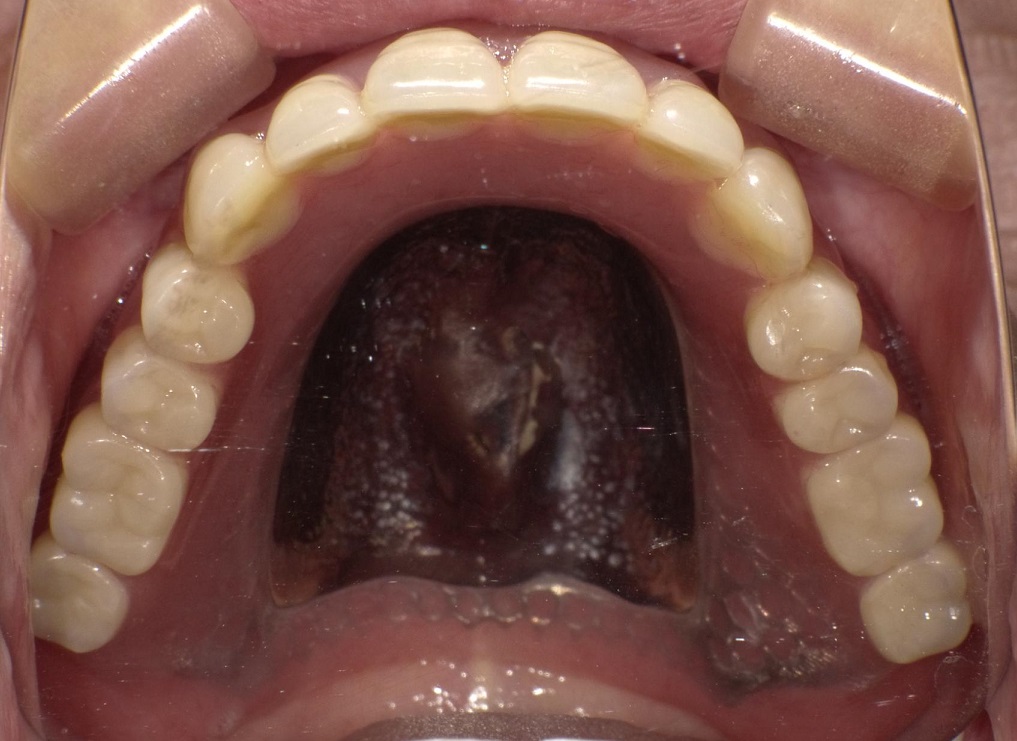
治療前
治療後
- 治療内容
- 上顎金属床(チタン床)
- 費用
- 500,000円(税別)
- 治療期間
- 約1年(義歯完成までは仮義歯使用)
- リスク・副作用
- 50代女性。上顎にブリッジが入っていましたが数本歯が割れていました。歯周病もあったため抜歯して義歯を作成。適合の良い義歯を作成するには抜歯を行った場合抜いた後の傷が完全に治癒し骨の回復を確認してからなのでどうしても装着までに時間がかかりました。
食事がとりにくい、話しにくいなど不便な期間も生じてしまいます。この点は患者さんにしっかり説明をした上で治療を行いました。
治療前
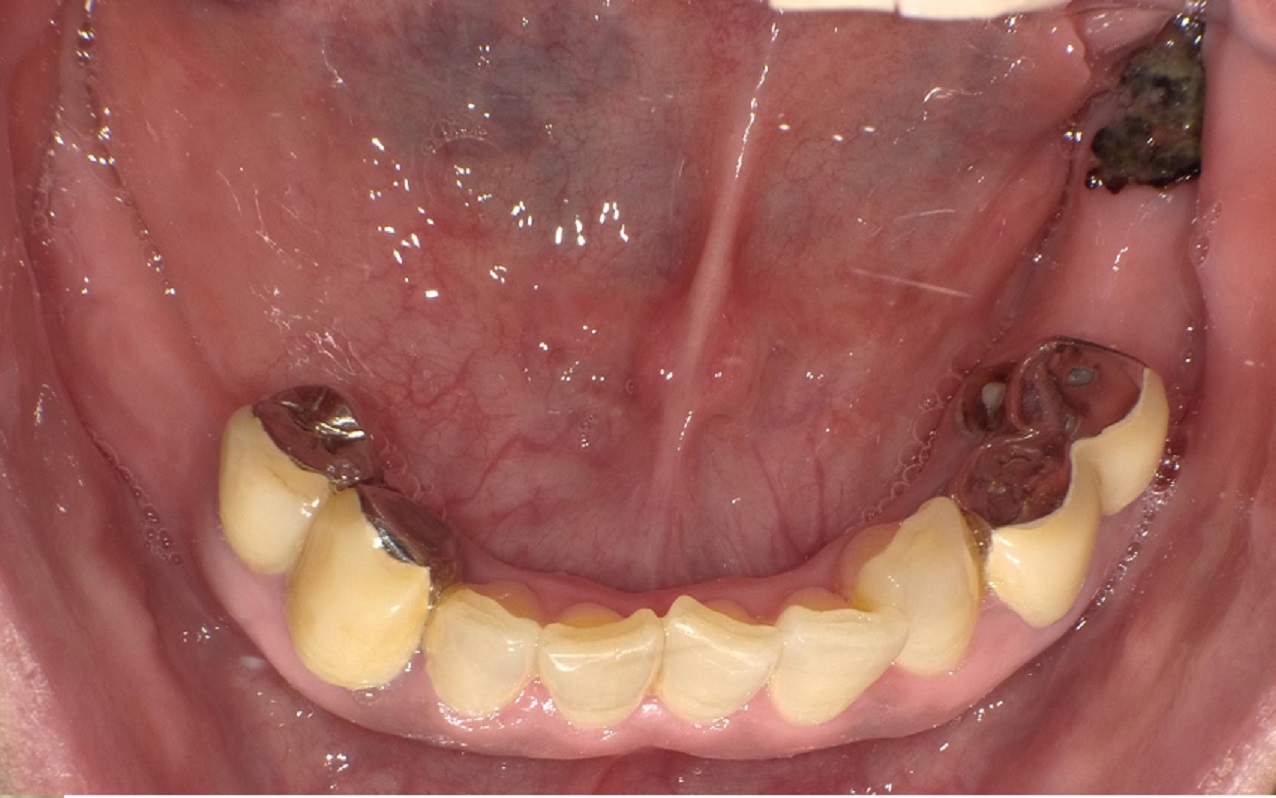
治療後
- 治療内容
- 下顎ナチュラルデンチャー
- 費用
- 200,000円(税別)
- 治療期間
- 10か月
- リスク・副作用
- 40代女性。長期間奥歯がなかったので義歯を入れたいと受診。虫歯の残根を抜歯しました。当院ではナチュラルデンチャーなどの部分義歯を入れる場合、残っている歯の治療をきちんと行い最後に義歯を作成します。なので義歯装着までの期間について説明し治療を行いました。
