症例紹介
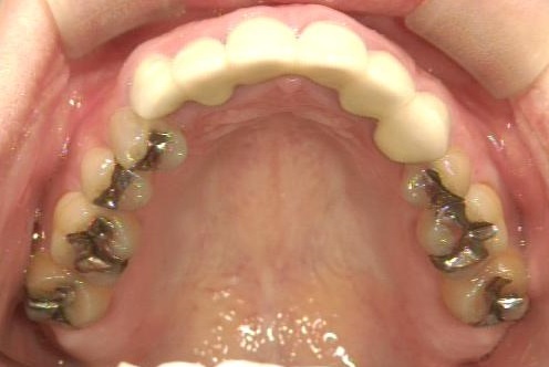
治療前
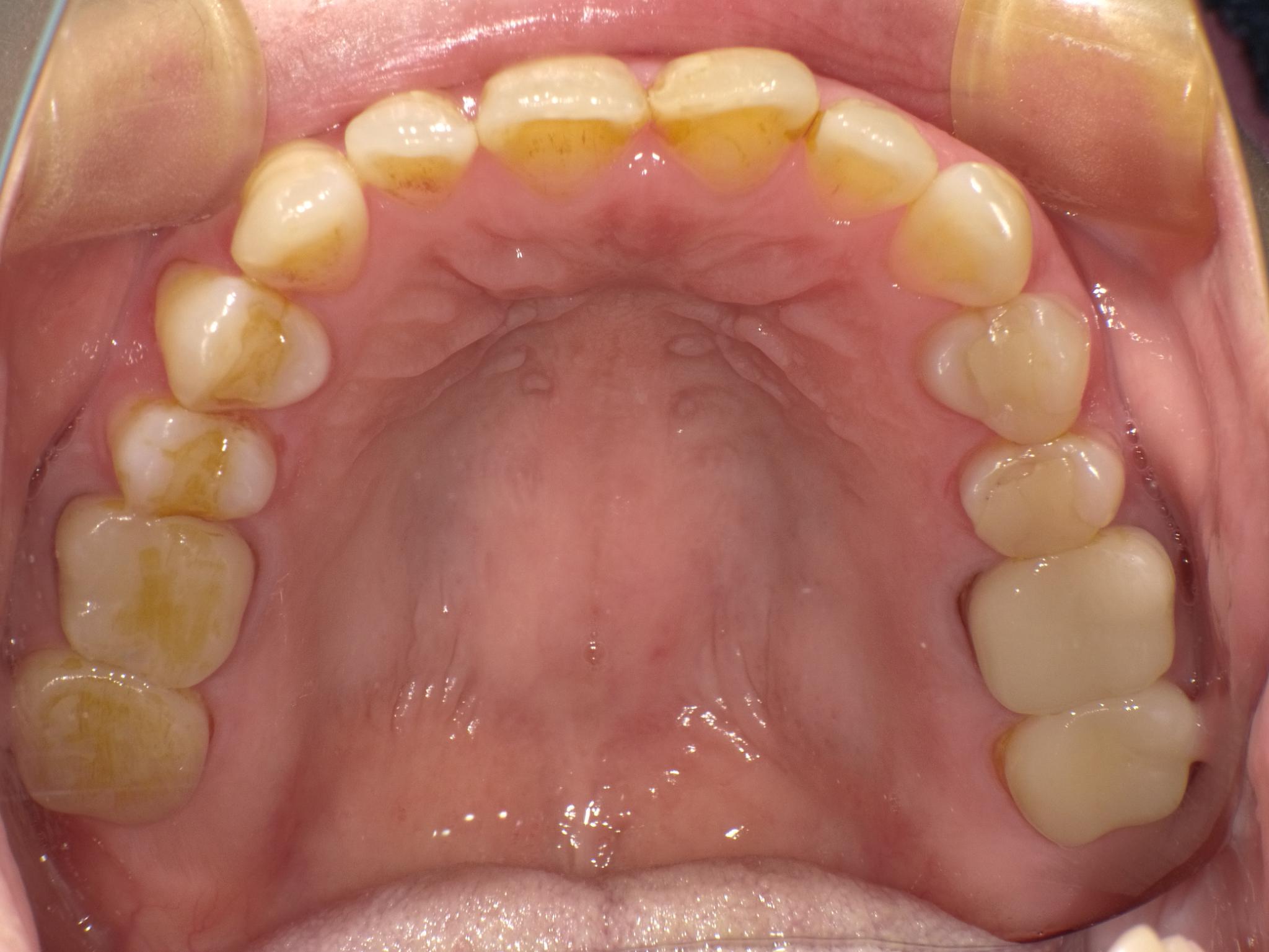
治療後
- 治療内容
- 臼歯部インレー 6本
- 費用
- 390,000円(税別)〜
- 治療期間
- 約一か月
- リスク・副作用
- 30代女性。金属を白くやり替えたいと受診。食いしばりがあるためe.maxを選択。「金属の味がしなくなりました」と満足していただけました。
セット後、破折のリスクがあるためナイトガードの使用を勧めました。
治療前
治療後
- 治療内容
- 臼歯部 クラウン4本 インレー4本
- 費用
- 580,000円(税別)〜
- 治療期間
- 約6か月
- リスク・副作用
- 50代女性。金属の詰め物がとれてしまった。頻繁に取れてしまうとのことでe.maxを選択。
セット後、破折のリスクがあるためナイトガードの使用を勧めました。
治療前
治療後
- 治療内容
- 臼歯部 クラウン3本 インレー3本
- 費用
- 435,000円(税別)〜
- 治療期間
- 約3か月
- リスク・副作用
- 60代男性。金属のかぶせものが取れてしまった。全体的に悪いところを治療希望。素材の説明をしたところe.maxを選択。
以前から歯ぎしりを指摘されているそうなのでセット後、破折のリスクがあるためナイトガードの使用を勧めました。
