
START
虫歯が歯髄まで達し根尖の先に膿がたまっています

ファイルと呼ばれる器具で壊死した歯髄を取ります。

ファイルが根に到達した時痛みが伴います。

消毒と根管の清掃を数回行い根尖の炎症がだいぶおさまってきました。
でもまだまだです。

炎症がなくなりました!
次は根管充填です。

GOAL
垂直加圧根管充填で根尖までゴム製の樹脂を詰めます。
根の先まできっちり詰めるので痛みが伴います。レントゲン撮影をしてきちんと根管充填ができているか確認します。
症例紹介
治療前
治療後
- 治療内容
- 右下4,5番根管治療
- 費用
- 約10,000円(健康保険適応)
- 治療期間
- 一か月
- リスク・副作用
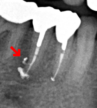
- 右下の歯にうずくような痛みがあると来院。レントゲンで大きな歯根嚢胞を確認。
右下5番は根管に側枝という横穴が開いてそのせいでその部分にも嚢胞がありました。一般的な側方加圧充填ではこの部分は充填剤が入らないため抜歯になってしまうケースです。
根管治療を4回行い症状がなくなったため根管充填を行いました。
垂直加圧根管充填できちっと根尖にも側枝にも充填剤が入りました。側枝に充塡剤がしっかり入っているとこのようにレントゲンに写ります(部分)。処置後3年経過しましたが快適だそうです。

