長期経過症例
10年以上のおつきあい
当院で治療を完了しその後も定期的にメンテナンスを行っている患者さまを紹介させていただきます。
良い状態を維持していくのは定期的な来院も大切ですが日々のセルフケアが最も重要なのです。
case1インプラントとメタルボンドブリッジの症例
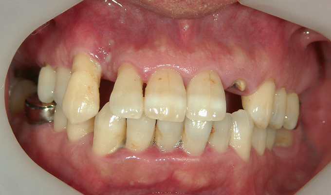
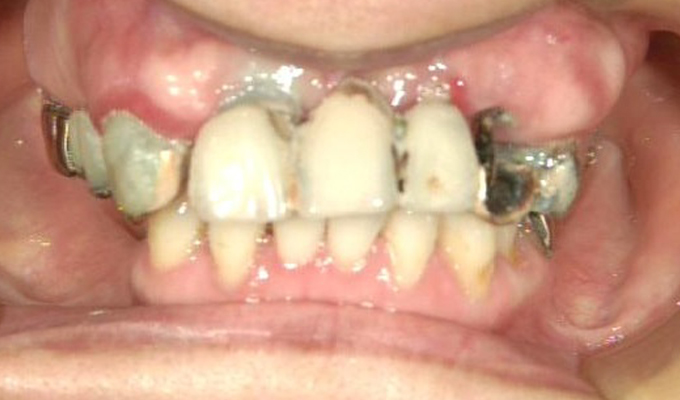
初診時(2010年)
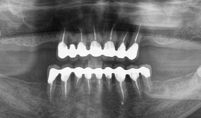
初回メンテナンス時(2014年)
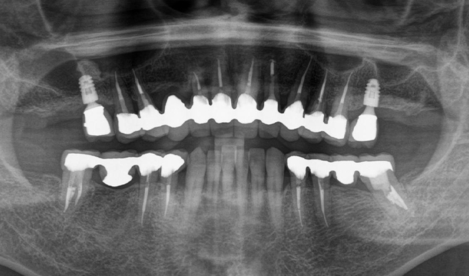
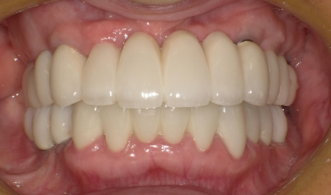
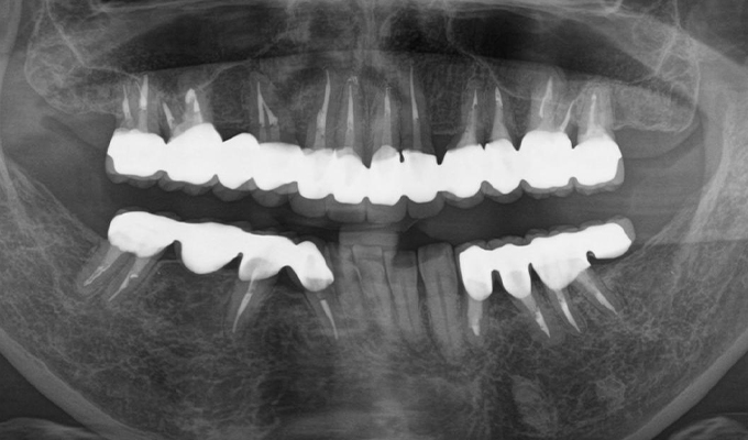
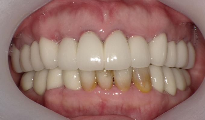
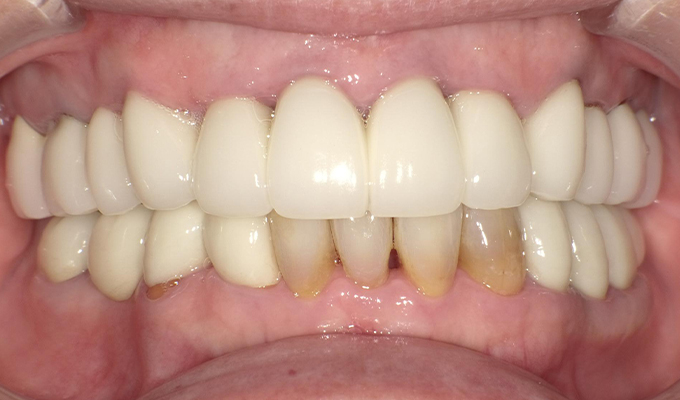
最新メンテナンス時(2024年)
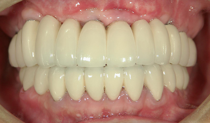
最新メンテナンス時(2024年)
- 初診時の年齢
- 60代女性(2010年)
- 主訴
- ちゃんと咬めるようになりたい。最近孫が生まれたから一緒に歌ったりしたいけど、今は歌うこともできないから・・・・。と
- 治療内容
- 5年ほど前に入れ歯を作ったそうですが合わなかったので使用してなかったせいか前歯がグラグラになっていて今にも抜けそうな状態でした。
保存が難しい歯を抜歯し、上はインプラント8本、下は奥歯にインプラント4本埋入しました。
補綴は変色しないメタルボンドを選択されたので治療完了して11年経過してもとてもきれいな状態で維持されています。
初診時にお話しされていたお孫さんも中学2年生になったそうで、歯の治療をしたおかげで充実した毎日が送れてます、とメンテナンス時もいつも嬉しそうにされています。
case2ジルコニアクラウンの症例
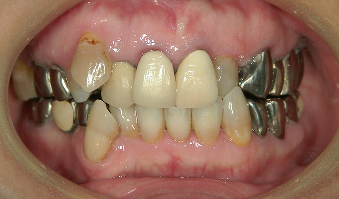
初診時(2013年)
初回メンテナンス時(2014年)
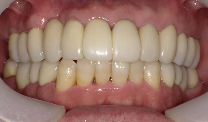
最新メンテナンス時(2024年)
最新メンテナンス時(2024年)
- 初診時の年齢
- 50代女性(2013年)
- 主訴
- 右上奥の銀歯が取れた。この際悪いところはすべて治療したい。
- 治療内容
- 取れてしまった銀歯の根が割れていたため抜歯しブリッジの治療になりました。
「せっかくならきれいにしたい」と八重歯になっている右上下の犬歯を抜きジルコニアブリッジを入れました。
セルフケアもしっかりやっていただいているので10年経過してもきれいな状態を維持されています。
case3インプラントとハイブリットセラミックスの症例
初診時(2012年)
初回メンテナンス時(2014年)
最新メンテナンス時(2024年)
最新メンテナンス時(2024年)
- 初診時の年齢
- 50代男性(2012年)
- 主訴
- 左上の前歯が欠けた。右の奥歯は3年前に抜けてそのままになってる。全体的に治療したい。
- 治療内容
- 全体的に歯周病があり(平均ポケット数値6~7mm)、そのせいで動揺している歯も多数あったためまず歯周病の治療を行いました。
平均ポケット数値が2~3㎜になったところで補綴治療を開始しました。歯のない部分はインプラントを入れ、ブリッジはハイブリットセラミックスで入れました。
2014年に治療が終わった後もメンテナンスに定期的に通っていただきナイトガードも使用していただいてます。きれいな状態が維持されています。
case4ハイブリットセラミックスとナチュラルデンチャーの症例
初診時(2014年)
初回メンテナンス時(2015年)
最新メンテナンス時(2024年)
最新メンテナンス時(2024年)
- 初診時の年齢
- 60代男性(2014年)
- 主訴
- 昔からかみ合わせが悪い。グラグラしている歯がたくさんあるので全体的に治療したい。
- 治療内容
- 全体的に歯周病なのと歯列不正があったため奥歯を抜歯し、歯のない部分にナチュラルデンチャーを入れました。
抜歯にかなり抵抗があったのですがちゃんと咬めるようになりたい!と決心し治療を進めました。上下の前歯にはハイブリットセラミックスを入れ前歯でもしっかり咬めるようにしたので「しっかり咬めるし見栄えもよくなった!」と満足していただけました。継続してメンテナンスもきていただいてます。就寝時はナイトガードもしてしていただいてます。
case5インプラント+メタルボンドブリッジ
初診時(2010年)
初回メンテナンス時(2012年)
最新メンテナンス時(2023年)
最新メンテナンス時(2023年)
- 初診時の年齢
- 40代女性 (2010年)
- 主訴
- 5年ほど前に上に総入れ歯を作った。(マグネットタイプ)食事してたら人口歯が取れてしまった。インプラントに興味がある。40代なので入れ歯はやっぱり嫌、とのことでした。
- 治療内容
- 上・・・虫歯の根だけの歯が数本残っているためすべて抜歯し仮義歯作成しました。最終的には8本インプラントを埋入し上部構造はメタルボンドです。
下・・・保存できる下の歯はメタルボンドブリッジにし、奥歯のない部分に3本インプラントを埋入しました。治療期間は2年ほどかかりましたがしっかり食事ができるようになったので嬉しいと、満足していただけました。
以降定期的にメンテナンスに来院いただき11年経過してもいい状態を維持されています。
患者さまからの
メッセージ
当院で治療を終えた患者さまから感想のメッセージをいただきました。







